Anti-cancer drug in human clinical trials shows significant promise
- Joseph Shavit
- Dec 26, 2022
- 4 min read
[Dec. 26, 2022: Diana Yates, University of Illinois at Urbana-Champaign]

Photo of U. of I. researchers. Illinois professor of veterinary clinical medicine Dr. Timothy Fan, left, and chemistry professor Paul Hergenrother. The U. of I. team found that the compound PAC-1 has therapeutic potential in pet dogs with spontaneously occurring cancers. The animal studies set the stage for the human clinical trials. (CREDIT: Fred Zwicky)
A phase I clinical trial of PAC-1, a drug that spurs programmed cell death in cancer cells, found only minor side effects in patients with end-stage cancers. The drug stalled the growth of tumors in the five people in the trial with neuroendocrine cancers and reduced tumor size in two of those patients. It also showed some therapeutic activity against sarcomas, scientists and clinicians report in the British Journal of Cancer.
The drug was first identified and developed as an anti-cancer agent by scientists at the University of Illinois Urbana-Champaign.
The findings from the clinical trial are noteworthy because the drug was tested in a small number of patients with advanced disease, said study clinical director Dr. Arkadiusz Dudek, an oncologist with the HealthPartners Cancer Center at Regions Hospital in St. Paul, Minnesota, and at Mayo Clinic in Rochester, Minnesota. Phase I clinical trials are designed to test whether a new drug compound has worrisome side effects or toxicities in human patients, Dudek said. But scientists also can look for early evidence of therapeutic benefits. The trial enrolled cancer patients with advanced disease who had run out of other treatment options.
“We had patients with colon cancer, breast cancer, pancreatic cancer, adenocarcinoma, melanoma and others,” he said.
Related Stories
The clinical trial – and another testing PAC-1 against brain cancer – involves patients and clinicians at three institutions: Regions Hospital, the University of Illinois Chicago and Johns Hopkins University.
Phase I clinical trials track side effects in patients who first are given very low doses of the compound being tested. If the drug is well tolerated and causes no discernible toxicities over the course of a month, the dose is incrementally increased. This process can take several months before a potentially therapeutic dose is given, said Dr. Oana Danciu, a medical oncologist and associate director for clinical research at the University of Illinois Cancer Center in Chicago, who led the clinical trial.
Researchers at the U. of I. first identified PAC-1 as a potential anti-cancer compound in the early 2000s when they discovered that it could switch on a pathway that is suppressed in cancer cells. The first step of this pathway involves the conversion of procaspase-3, a protein found in most cells, into caspase-3, an enzyme that, when activated, initiates programmed cell death.

Pharmacokinetics of PAC-1. (CREDIT: Nature Communications)
Led by chemistry professor Paul Hergenrother, the U. of I. team also recognized that procaspase-3 occurs in greater abundance in many cancer cells relative to healthy tissues. That characteristic, along with its tendency to not be activated in cancer cells, made it a good target for anti-cancer therapies.
In animal trials involving pet dogs with spontaneously occurring lymphomas, meningiomas and osteosarcomas, Hergenrother and Dr. Timothy Fan, a U. of I. professor of veterinary clinical medicine, found that an early formulation of PAC-1 had anti-cancer effects.
Their work in cells and in animals set the stage for the human clinical trials, which were initiated several years ago with funding from an anonymous angel investor. Hergenrother founded biotechnology company Vanquish Oncology to lead the effort.

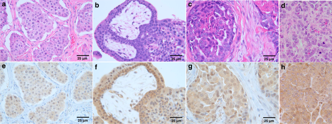
Procaspase-3 (PC-3) expressions in diverse tumour histologies categorised as moderate-to-strong immunostaining intensities.. (CREDIT: Nature Communications)
The clinicians are currently seeking further funding to move the drug into phase II clinical trials, which would involve many more, much healthier patients with very similar cancer profiles to one another.

“Our strategy is to figure out which tumor type will be the most sensitive and pursue that,” Dudek said. “So we are very excited about the results in neuroendocrine tumors because there are not many drugs available for that disease.”
More results are expected soon from a phase I clinical trial of PAC-1 in patients with glioblastoma multiforme, an aggressive form of brain cancer that has only one drug available to treat it. In the new clinical trial, the team combined PAC-1 with this drug, temozolomide.
In previous studies, the researchers discovered that PAC-1 crosses the blood-brain barrier, which is essential for any brain cancer treatment. They also saw promising results of PAC-1 in combination with the drug temozolomide and radiation in pet dogs with brain cancer.
If clinical trials reveal that PAC-1 is therapeutic against one or more cancer type and the drug is approved for use in those populations, it will make it less costly to test it against other cancers, the researchers said.

An approved drug also can be prescribed for “off-label use” by doctors who think their patients might benefit from adding it to their cancer-treatment protocols.
It can take many years for the results of new clinical trials to be available, and longer still before a new drug like PAC-1 is approved for cancer treatment, the researchers said.
Hergenrother and Fan are affiliates of the Carl R. Woese Institute for Genomic Biology at the U. of I. and members of the Cancer Center at Illinois.
Vanquish Oncology, the University of Illinois Cancer Center, the National Institutes of Health and the Engdahl Family Foundation supported this research.
For more science news stories check out our New Innovations section at The Brighter Side of News.
Note: Materials provided above by University of Illinois at Urbana-Champaign. Content may be edited for style and length.
Like these kind of feel good stories? Get the Brighter Side of News' newsletter.







Comments